Canada
Canada health officials investigate severe hepatitis of 'unknown origin' in children
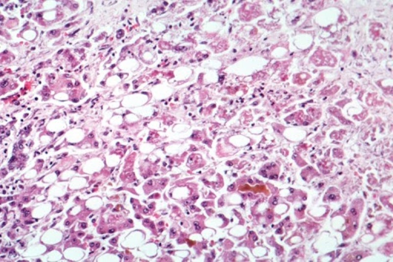
Toronto/IBNS: Cases of severe liver disease "of unknown origin" among children in Canada are being investigated by public health officials as a mysterious hepatitis outbreak has reportedly affected nearly 200 youths around the world.
According to the latest available data from the World Health Organization (WHO), at least 169 cases of acute hepatitis of unknown origin have been reported in close to a dozen countries, with 114 from the United Kingdom.
An even higher estimate of nearly 200 cases in children around the world was reported on Tuesday by the European Centre for Disease Prevention and Control (ECDC).
Details on the total number of Canadian cases have not yet been provided by the health officials.
The cases which have been reported worldwide have struck children from one month to 16 years old.
(Reporting by Asha Bajaj)
Support Our Journalism
We cannot do without you.. your contribution supports unbiased journalism
IBNS is not driven by any ism- not wokeism, not racism, not skewed secularism, not hyper right-wing or left liberal ideals, nor by any hardline religious beliefs or hyper nationalism. We want to serve you good old objective news, as they are. We do not judge or preach. We let people decide for themselves. We only try to present factual and well-sourced news.
